Der Übersichtlichkeit wegen wird hier lediglich eine Auswahl der am meisten verwendeten Apparaturen gezeigt. In der Kieferorthopädie ist eine Vielzahl von Geräten bekannt und von jedem Gerät bestehen viele Varianten.
![]() |
![]() |
![]() |
| Monoblock (abnehmbar) Aktivator, Bionator |
Headgear (abnehmbar) | Kopf-Kinnkappe (abnehmbar) |
Festsitzende Apparaturen aus Bändern, die die Zähne umgeben und aus Brackets, die auf die Aussenseite der Zähne aufgeklebt sind. Varianten sind zahnfarbene Brackets und eine Technik, die Brackets auf die Zahninnenseite, unauffällig aufzubringen. Da diese Geräte zur Reinigung nicht abgenommen werden können, ist eine gute Mundhygiene Voraussetzung.
![]() |
![]() |
![]() |
| Teile einer festsitzenden Apparatur auf dem Modell und in der Anwendung. | Behandlung von Teenagern... | ...und von Erwachsenen. |
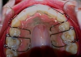
Retention: Sind die Zähne und Kiefer durch eine kieferorthopädische Behandlung in optimale Stellung gebracht, ist es unumgänglich, diese in der guten Stellung zu behalten. Ähnlich eines Memory-Effektes, haben die bewegten Zähne die Tendenz, sich in Richtung der ursprünglichen Fehlstellung zurückzubewegen. Deswegen muss das Behandlungsresultat gesichert werden. Häufig werden dazu verwendet:
![]() |
![]() |
![]() |
| Unauffällig geklebte Drähte auf der Innenseite | Abnehmbare Geräte, Platten, häufig nur nachts getragen | Positioner. |










